TEL043-445-8810
9:00-13:00/14:00-18:00(土日は17:00まで)
Implant treatment casesインプラント治療症例
前歯審美症例
上顎前歯2本欠損症例
BEFORE AFTER 52歳女性/上2本欠損/インプラント埋込手術 【治療内容】 上顎前歯のグラつきが主訴でご来院の…
上顎前歯1本欠損症例
BEFORE AFTER 66歳男性/上顎1本欠損/インプラント埋込手術 【治療内容】 右上の前歯は元々ブリッチが入って…
BEFORE AFTER 72歳男性/上顎1本欠損/インプラント埋込手術 【治療内容】 上顎前歯の被せものが取れてしまい…
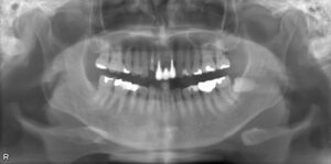
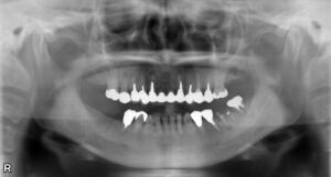
上顎8本欠損症例
BEFORE AFTER 56歳女性/下顎4本欠損/インプラント埋込手術 【治療内容】 神経の処置をしていた歯の状態が悪…
奥歯欠損症例
下顎臼歯2本欠損症例
BEFORE AFTER 68歳女性/下2本欠損/インプラント埋込手術 【治療内容】 左下に入っているブリッジからの出血…
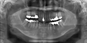
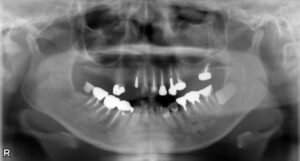
上下5本欠損症例
BEFORE AFTER 62歳女性/上下5本欠損/インプラント埋込手術 【治療内容】 欠損歯が多いため、お食事が取りに…
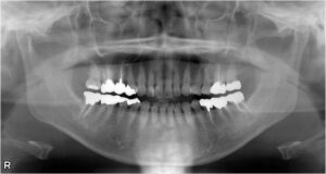
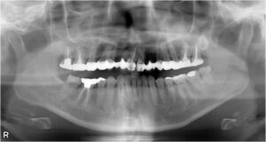
大臼歯2本欠損症例
BEFORE AFTER 43歳女性/上下2本欠損/インプラント埋込手術 【治療内容】 右上第二大臼歯の被せ物が外れてし…
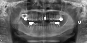
下顎小臼歯1本欠損症例
BEFORE AFTER 52歳女性/上1本欠損/インプラント埋込手術 【治療内容】 右上第二小臼歯には被せ物が入ってい…
オールオン4.6
矯正治療を併用したインプラント治療
インプラント治療を決める前に
インプラント治療について
料金表