インプラント治療症例

前歯審美症例

  • 上顎2本欠損症例

    BEFORE AFTER 71歳女性/上顎2本欠損/インプラント埋込手術 【治療内容】 右上犬歯と左上第一小臼歯欠損で義…

  • 上顎側切歯1本欠損症例

    BEFORE AFTER 49歳男性/上1本欠損/インプラント埋込手術 【治療内容】 左上側切歯の被せ物が土台ごと外れて…

  • 上顎中切歯1本欠損症例

    BEFORE AFTER 43歳女性/上1本欠損/インプラント埋込手術 【治療内容】 左上中切歯のインプラント治療をご希…

  • 上顎中切歯1本欠損症例

    BEFORE AFTER 43歳女性/上1本欠損/インプラント埋込手術 【治療内容】 左上中切歯のインプラント治療をご希…

奥歯欠損症例

  • 下顎大臼歯1本欠損症例

    BEFORE AFTER 53歳女性/下1本欠損/インプラント埋込手術 【治療内容】 歯根の先で炎症が広がり、抜歯となっ…

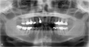
  • 上下臼歯9本欠損症例

    BEFORE AFTER 74歳女性/上下9本欠損/インプラント埋込手術 【治療内容】 根っこの先で炎症が広がり抜歯とな…

  • 上下臼歯5本欠損症例

    BEFORE AFTER 74歳女性/上下5本欠損/インプラント埋込手術 【治療内容】 右上第二小臼歯、第一、第二大臼歯…

  • 上顎大臼歯2本欠損症例

    BEFORE AFTER 50歳女性/上2本欠損/インプラント埋込手術 【治療内容】 左上第一大臼歯、第二大臼歯は他院で…

オールオン4.6

矯正治療を併用したインプラント治療