インプラント治療症例

前歯審美症例

  • 上顎前歯2本欠損症例

    BEFORE AFTER 38歳男性/上2本/インプラント埋込手術 【治療内容】 左上前歯のお痛みが主訴でご来院の患者さ…

  • 上顎前歯2本欠損症例

    BEFORE AFTER 67歳女性/上2本/インプラント埋込手術 【治療内容】 右上の前歯は他院で治療をされていました…

  • 上顎前歯1本欠損症例

    BEFORE AFTER 69歳男性/上1本/インプラント埋込手術 【治療内容】 右上前歯の歯根が破折し、抜歯となった患…

  • 上顎前歯2本欠損症例

    BEFORE AFTER 34歳女性/上顎2本/インプラント埋込手術 【治療内容】 上顎前歯は被せ物入っていましたが、腫…

奥歯欠損症例

  • 上下臼歯2本欠損症例

    BEFORE AFTER 58歳女性/上下2本欠損/インプラント埋込手術 【治療内容】 左上第二小臼歯が欠損状態で、イン…

  • 下顎大臼歯1本欠損症例

    BEFORE AFTER 31歳男性/下1本欠損/インプラント埋込手術 【治療内容】 左下第二大臼歯が、残根の状態でご来…

  • 下顎大臼歯3本欠損症例

    BEFORE AFTER 60歳男性/下3本欠損/インプラント埋込手術 【治療内容】 左下第一大臼歯は他院で治療中でした…

  • 下顎大臼歯2本欠損症例

    BEFORE AFTER 39歳女性/下2本欠損/インプラント埋込手術 【治療内容】 歯茎の腫れと痛みが主訴でご来院の患…

オールオン4.6

  • 上顎オールオン6/下顎ロケーター義歯 症例

      BEFORE AFTER 72歳女性/上顎6本・下顎2本 【治療内容】 上下顎ともに骨吸収が進み、入れ歯が合わなくな…

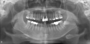
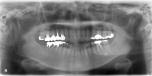
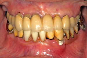
  • 上下顎オールオン6症例 

    BEFORE AFTER 63歳男性/上顎6本・下顎6本 【治療内容】 全体的に歯が揺れてお食事がとりづらくなり、来院さ…

  • 下顎オールオン6症例 

    BEFORE AFTER 78歳女性/下顎6本 【治療内容】 下の歯が、骨吸収により全体的に揺れている状態で来院された患…

矯正治療を併用したインプラント治療

  • 下顎大臼歯2本欠損症例

    BEFORE AFTER 67歳女性/下2本/インプラント埋込手術 【治療内容】 右下第一大臼歯、第二大臼歯が根っこの先…

  • 矯正治療を併用したインプラント治療テスト

    矯正治療を併用したインプラント治療テスト